症例紹介
中手骨・中足骨骨折|犬や猫が足を引きずるときは要注意
神奈川県秦野市・伊勢原市・平塚市・中井町・二宮町・小田原市にお住まいの皆さま、こんにちは。
神奈川県秦野市の「みかん動物病院」獣医師の森田です。
いつも通り元気に歩いていた愛犬や愛猫が、突然足をかばうように歩いたり、片足を浮かせるようなそぶりを見せたりすることはありませんか?
一見、目立った外傷が見られず、普段通りに過ごしているように見える場合は、「少し様子を見ようかな」と思われることもあるかもしれません。
しかし、こうした何気ない変化の裏に、中手骨や中足骨の骨折が隠れていることがあります。
今回は、犬や猫の中手骨・中足骨骨折について、主な原因や気づきにくい初期症状、治療の選択肢や予防のためにできることについて解説します。
■目次
1.中手骨・中足骨とは?
2.中手骨・中足骨骨折の原因と発生状況
3.見逃しやすい症状とサイン
4.治療法の選択肢
5.手術と回復過程
6.予防と事故防止対策
7.まとめ
中手骨・中足骨とは?
中手骨や中足骨は、それぞれ人の手の甲や足の甲にあたる骨で、犬や猫にも同様に存在します。
これらの骨は、指の骨と手首(前肢)や足首(後肢)の骨をつなぐ役割を持っており、体を支えたり、バランスを取ったりするうえでとても大切な骨です。

そして、歩いたり走ったりするときには、体重がしっかりとかかる部分でもあります。
そのため、万が一この部分に骨折が起こると、強い痛みを感じたり、うまく手足を地面につけられなくなったりすることがあります。
こうした変化により、いつものようにスムーズに歩けなくなり、日常生活にも大きな支障が出てしまう可能性があります。
中手骨・中足骨骨折の原因と発生状況
犬や猫の中手骨・中足骨の骨折は、主に外から強い衝撃を受けたときに起こります。
特に以下のようなケースが代表的な原因として知られています。
・交通事故
・高い場所からの落下
・足を踏まれてしまった
・ドアに挟まれてしまった
このようなケガは、屋外での事故というイメージがあるかもしれませんが、実は室内で暮らす犬や猫にも起こる可能性があるため注意が必要です。
特に猫では、高い場所からジャンプしたときにうまく着地できず骨折することがよくあります。一方で犬では、散歩中の交通事故や、急な転倒による骨折が多く報告されています。
このように、普段の生活の中でも思いがけない事故が原因でケガをしてしまうことがあります。
見逃しやすい症状とサイン
中手骨や中足骨を骨折してしまった場合、最も気づきやすいサインは歩き方の異常です。
次のような様子が見られるときは、注意が必要です。
・足を地面につけず、浮かせたまま歩いている
・足を引きずるように歩いている
・骨折した部分が腫れている
・その部位に触れると、痛がって嫌がる様子がある
また、骨の変形が外から確認できるケースもありますが、見た目では分かりにくいこともあるため、見逃さないよう注意が必要です。
「少し足を引きずっているだけかな」「ちょっとひねっただけかもしれない」と放置してしまうと、骨のずれが悪化したり、回復までに時間がかかったりする可能性があります。
そのため、愛犬や愛猫に違和感のある動きや痛みを感じていそうな様子が見られた場合には、できるだけ早く動物病院を受診し、獣医師の診察を受けることが大切です。
治療法の選択肢
中手骨・中足骨の骨折に対する治療方法は、大きく分けて「外固定」と「外科手術」の2つがあります。
どちらの方法が適しているかは、骨折の程度や位置、そして犬や猫の体格や年齢などを総合的に判断して決定されます。
<外固定>
ギプスや包帯などで骨折部位を固定する方法で、比較的軽度な骨折や骨のずれが小さい場合に選ばれることが多く、体への負担が少ないのが特徴です。
また、全身麻酔が不要なため、高齢の犬や猫にも適していることがあります。
ただし、動いているうちに固定がずれてしまったり、治るまでに時間がかかったりすることもあるため、経過を注意深く見守る必要があります。
<外科手術>
ピンやワイヤー、プレートなどの医療用の金属を使い、骨を正しい位置に整えてしっかりと固定する方法です。
特に、体重がかかりやすい第3・第4中手骨や中足骨が同時に折れているような場合には、外科的な治療が必要とされることが多くなります。
骨の位置を安定させることで、より早い回復が期待できる一方で、全身麻酔が必要となり、外固定と比べて費用が高くなる場合もあります。
そのため、治療方針は飼い主様と獣医師がしっかりと相談しながら決めていくことが大切です。
手術と回復過程
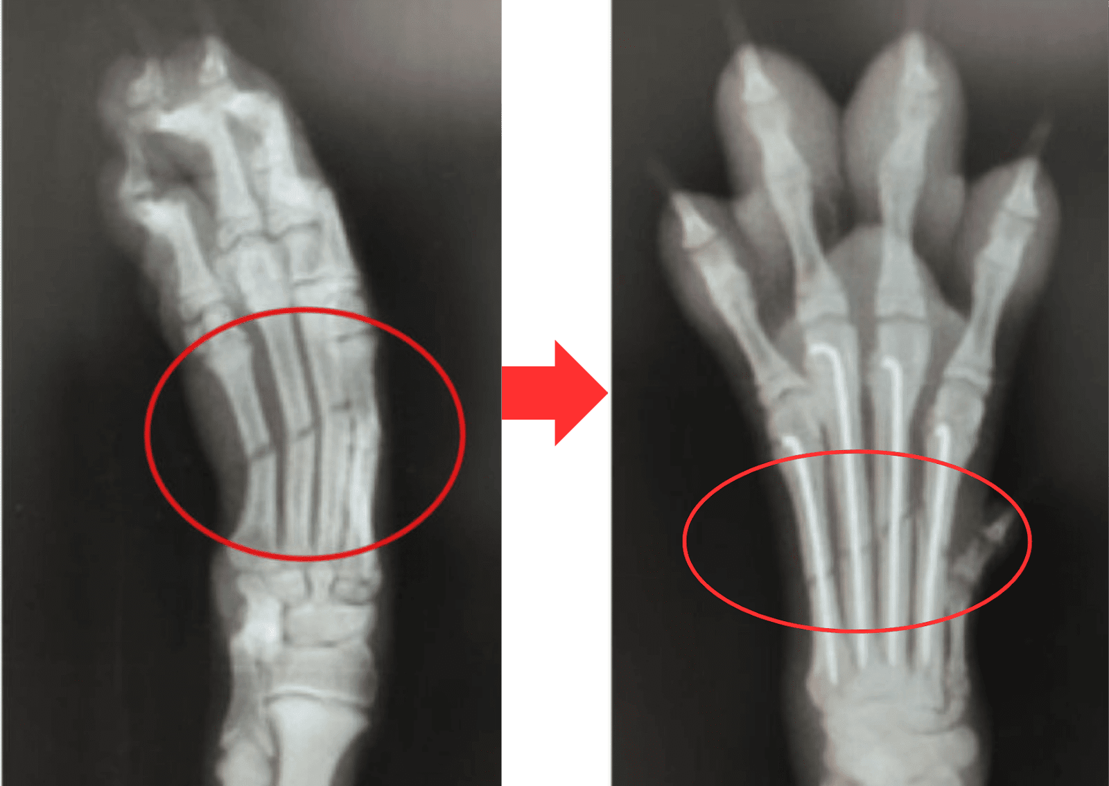
手術では、ずれてしまった骨を本来の位置に戻し、Kワイヤー(細いステンレス製の針金)やプレート、スクリューなどの金属製の器具を使って、骨をしっかりと固定します。
実際に当院で行った症例では、4本の骨が骨折していたため、Kワイヤーによる整復を行いました。
術前のレントゲンでは、骨折によって骨が大きく曲がっていましたが、手術後にはまっすぐな状態に整えられていることが確認できました。

<回復過程>
手術後は、通常2週間から4週間ほどの安静期間が必要です。
この間は、走ったりジャンプしたりといった激しい動きを避ける必要があり、ケージでの生活(ケージレスト)など、活動を制限する環境を整えてあげることが大切です。
回復にかかる期間は、骨折の程度や年齢、体格などによって個体差はありますが、一般的には完全に骨が癒合するまでに6〜8週間ほどかかることが多いです。
また、術後は定期的にレントゲン検査を行い、骨の癒合状態を確認していきます。
痛みや腫れが再発していたり、金属の器具が皮膚の外に出てしまったりするなど、気になる症状が見られた場合には、すぐに動物病院へご相談ください。
予防と事故防止対策
骨折などの思わぬケガを防ぐためには、日常生活の中での環境づくりや行動への注意がとても大切です。
◆室内で気をつけたいこと
室内では、次のような対策を取り入れることで、事故のリスクを減らすことができます。
・階段にゲートを設置して、転落を防ぐ
・滑りにくいマットを敷いて、足元を安定させる
・ドアの開閉時には、足元に犬や猫がいないかを確認する
・ソファやベッドなど高い場所には、踏み台やスロープを設けて段差を緩和する
特に好奇心が旺盛な性格の犬や猫と暮らしている場合は、思わぬタイミングでケガをしてしまうことがあります。そのため、日頃からのちょっとした気配りがとても大切です。
◆散歩中の注意点
外に出ると、予測が難しいさまざまな危険が考えられます。
散歩の際には、次のような基本的な点に注意しましょう。
・リードは短くしっかり持つ
・交通量の少ない、安全な道を選んで歩く
散歩中は、突然の飛び出しや、ほかの動物・人との接触によって事故が起こることもあります。
安全を第一に考え、周囲の状況にも気を配りながら行動することが大切です。
まとめ
中手骨・中足骨の骨折は、少しの油断や日常の中に潜む思いがけない事故によって起こることがあります。
適切な治療を受けずに放置してしまうと、慢性的な歩行障害や骨の変形が残ってしまう可能性もあるため、注意が必要です。
もし、足の動きに違和感がある、痛がっている様子が見られるといったサインに気づいた際には、「様子を見よう」と判断する前に、できるだけ早めに動物病院を受診するようにしましょう。
■関連する記事はこちら
・踵骨骨折
・前十字靭帯断裂
・脛骨複雑骨折
・上腕骨遠位端骨折
■当院の予約はこちら
電話番号:0463-84-4565
web予約:https://mkn-a-hospital.reserve.ne.jp/
神奈川県秦野市の動物病院なら『みかん動物病院』
みかん動物病院の診療案内はこちらから
